花粉採取日
天気 最高気温 (合計450℃になるとスギ花粉が飛びます)
最大風速 |
花粉数 (1日の数/㎠)
少ない=10個以下 やや多い=11-30個 多い=31-50個 かなり多い=51-100個 非常に多い=101個以上 |
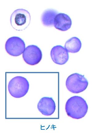
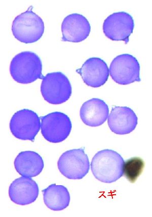
本日の観測花粉
その日に観測した特徴的な花粉を集めて表示しています
四角内は1つの視野(400倍)に見えた花粉です
|
ポールン ロボ 写真をクリック下さい |
5/31 - 6/1
曇り
26.4℃ (2440.6℃)
西北西6.5 |
イネ科 9.6
マツ 11.7
その他の花粉 6.5
合計 27.8 (やや多い)
 |
   |
6 |
5/ 30-31
晴れのち曇り、夜雨
30.0℃ (2414.2℃)
南南東6.6 |
イネ科 8.0
その他の花粉 0.9
マツ 3.4
合計 12.3 (やや多い)

雨に少々濡れている |
  黄砂(九州大学)(詳細は図をクリック下さい)
硫酸塩エアロゾル(大気汚染物質)
九州大学(詳細は図をクリック下さい)
|
観測できておらず |
5/ 29-30
晴れ
33.1℃ (2384.2℃)
西南西3.9 |
イネ科 15.4
マツ 14.8
シラカンバ・ハンノキ・その他の花粉 10.2
ヒノキ 0.3
合計 40.7 (多い)
 |
     黄砂(九州大学)(詳細は図をクリック下さい)
硫酸塩エアロゾル(大気汚染物質)
九州大学(詳細は図をクリック下さい)
|
観測できておらず |
5/ 28-29
晴れ
27.7℃ (2351.1℃)
西北西6.5 |
マツ 22.8
イネ科 11.4
ハンノキ・シラカンバ・その他の花粉 9.9
合計 44.1 (多い)
 |
     黄砂(九州大学)(詳細は図をクリック下さい)
硫酸塩エアロゾル(大気汚染物質)
九州大学(詳細は図をクリック下さい)
|
観測できておらず |
5/ 27-28
晴れ
28.3℃ (2323.4℃)
南東8.2 |
イネ科 13.3
シラカンバ・その他の花粉 18.8
マツ 16.0
合計 48.1 (多い)
 |
   黄砂(九州大学)(詳細は図をクリック下さい)
硫酸塩エアロゾル(大気汚染物質)
九州大学(詳細は図をクリック下さい)
|
2 |
5/ 25-26
晴れ
27.4℃ (2272.5℃)
南南東6.0 |
イネ科 5.6
その他の花粉 3.4
マツ 2.5
合計 11.5 (やや多い)
 |
  硫酸塩エアロゾル(大気汚染物質)
九州大学(詳細は図をクリック下さい)
|
8 |
5/ 24-25
晴れ
27.8℃ (2245.1℃)
南南東5.7 |
イネ科 8.6
シラカンバ・その他の花粉 3.7
マツ 2.2
合計 14.5 (やや多い)
 |
  硫酸塩エアロゾル(大気汚染物質)
九州大学(詳細は図をクリック下さい)
|
10 |
5/ 23-24
晴れ
28.4℃ (2217.3℃)
北北西5.1 |
イネ科 14.2
マツ 4.2
シラカンバ・ハンノキ・その他の花粉 16.0
合計 34.2 (多い)
 |
   
硫酸塩エアロゾル(大気汚染物質)
九州大学(詳細は図をクリック下さい)
|
10 |
5/ 22-23
晴れ
28.5℃
西北西4.7 |
イネ科 19.8
マツ 6.5
その他の花粉 11.4
合計 37.7 (多い)
 |
     黄砂(九州大学)(詳細は図をクリック下さい)
硫酸塩エアロゾル(大気汚染物質)
九州大学(詳細は図をクリック下さい)
|
8 |
5/ 20-21
晴れ
26.4℃
(2129.1℃)
西南西3.0 |
イネ科 7.1
マツ 6.5
その他の花粉 10.5
合計 24.1 (やや多い)

チリ・ゴミ多い |
   ゴミ
黄砂(九州大学)(詳細は図をクリック下さい)
硫酸塩エアロゾル(大気汚染物質)
九州大学(詳細は図をクリック下さい)
|
8 |
5/ 18-19
晴れ
27.2℃ (2074.7℃)
南南東5.0 |
イネ科 14.5
マツ 3.4
ハンノキ・その他の花粉 13.3
合計 31.2 (多い)
 |
   
黄砂(九州大学)(詳細は図をクリック下さい)
硫酸塩エアロゾル(大気汚染物質)
九州大学(詳細は図をクリック下さい)
|
4 |
5/ 17-18
曇りのち晴れ
20.3℃ (2047.5℃)
南南東3.5 |
マツ 5.2
イネ科 1.9
その他の花粉 4.3
合計 11.4 (やや多い)
 |
   黄砂(九州大学)(詳細は図をクリック下さい)
硫酸塩エアロゾル(大気汚染物質)
九州大学(詳細は図をクリック下さい)
|
1 |
5/ 16-17
曇り
21.1℃ (2027.2℃)
南3.6 |
イネ科 2.5
マツ 2.5
その他の花粉 3.7
合計 8.7
(少ない)

チリ・ゴミ玉観測 |
   黄砂(九州大学)(詳細は図をクリック下さい)
硫酸塩エアロゾル(大気汚染物質)
九州大学(詳細は図をクリック下さい)
|
2 |
5/ 15-16
曇り
20.6℃ (2006.1℃)
西北西4.7 |
イネ科 6.5
シラカンバ・ハンノキ・ブタクサ・その他の花粉 13.6
スギ 0.3
マツ 9.0
合計 29.4 (やや多い)

チリ・ゴミ玉多数観測
黄砂による影響か? |
     黄砂(九州大学)(詳細は図をクリック下さい)
硫酸塩エアロゾル(大気汚染物質)
九州大学(詳細は図をクリック下さい)
|
10 |
5/ 12-13
雨
21.0℃ (1939.8℃)
南東4.7 |
イネ科 1.2
その他の花粉 4.6
マツ 1.2
合計 7.0
(少ない)

雨に濡れている |
 黄砂(九州大学)(詳細は図をクリック下さい)
硫酸塩エアロゾル(大気汚染物質)
九州大学(詳細は図をクリック下さい)
|
0 |
5/ 11-12
曇り
24.5℃ (1918.8℃)
南4.3 |
イネ科 5.2
その他の花粉 13.0
マツ 1.2
合計 19.4 (やや多い)
 |
   黄砂(九州大学)(詳細は図をクリック下さい)
硫酸塩エアロゾル(大気汚染物質)
九州大学(詳細は図をクリック下さい)
|
4 |
5/ 10-11
晴れ
21.5℃ (1894.3℃)
南3.7 |
イネ科 5.2
シラカンバ・その他の花粉 15.7
マツ 4.9
ヒノキ 0.9
スギ? 0.6
合計 28.0 (やや多い)
 |
    黄砂(九州大学)(詳細は図をクリック下さい)
硫酸塩エアロゾル(大気汚染物質)
九州大学(詳細は図をクリック下さい)
|
2 |
5/ 9-10
曇りのち雨
18.1℃ (1872.8℃)
北5.0 |
イネ科 0.6
その他の花粉 18.8
マツ 6.8
合計 26.2 (やや多い)

ゴミ・チリが多い
黄砂が混じるか? |
    黄砂(九州大学)(詳細は図をクリック下さい)
硫酸塩エアロゾル(大気汚染物質)
九州大学(詳細は図をクリック下さい)
|
5 |
5/ 8-9
晴れ
23.9℃ (1854.7℃)
西5.4 |
イネ科 3.7
シラカンバ・ハンノキ・その他の花粉 63.9
マツ 22.2
スギ 0.6
合計 90.4 (かなり多い)
 |
      
黄砂(九州大学)(詳細は図をクリック下さい)
硫酸塩エアロゾル(大気汚染物質)
九州大学(詳細は図をクリック下さい)
|
25 |
5/ 7-8
晴れ~曇り
26.5℃ (1830.8℃)
南南東4.5 |
イネ科 6.5
その他の花粉 30.9
マツ 11.7
ヒノキ 0.9
合計 50.0 (多い)
 |
     黄砂(九州大学)(詳細は図をクリック下さい)
|
1 |
5/ 6-7
曇りのち晴れ
23.7℃ (1804.3℃)
南南東5.7 |
イネ科 2.8
その他の花粉 9.6
マツ 1.2
合計 13.6 (やや多い)
 |
   黄砂(九州大学)(詳細は図をクリック下さい)
硫酸塩エアロゾル(大気汚染物質)
九州大学(詳細は図をクリック下さい)
|
2 |
5/ 5-6
晴れ
26.6℃ (1780.6℃)
南南東5.6 |
イネ科 2.2
その他の花粉 16.0
マツ 4.6
合計 22.8 (やや多い)
 |
 
黄砂(九州大学)(詳細は図をクリック下さい)
硫酸塩エアロゾル(大気汚染物質)
九州大学(詳細は図をクリック下さい)
|
3 |
5/ 4-5
晴れ
25.3℃ (1754.0℃)
南南東4.5 |
シラカンバ・その他の花粉 27.2
イネ科 2.2
マツ 8.0
合計 37.4 (多い)
 |
 
黄砂(九州大学)(詳細は図をクリック下さい)
硫酸塩エアロゾル(大気汚染物質)
九州大学(詳細は図をクリック下さい)
|
3 |
5/ 3-4
晴れ
20.9℃ (1728.7℃)
北北西4.9 |
その他の花粉 24.4
ヒノキ 0.3
イネ科 1.5
マツ 4.0
合計 30.2 (多い)
 |
  
黄砂(気象庁)(詳細は図をクリック下さい)
黄砂(九州大学)(詳細は図をクリック下さい)
硫酸塩エアロゾル(大気汚染物質)
九州大学(詳細は図をクリック下さい)
|
19 |
5/ 2-3
晴れ
21.6℃ (1707.8℃)
北北西6.1 |
マツ 30.2
シラカンバなどその他の花粉 30.6
イネ科 1.2
ヒノキ? 0.3
合計62.3 (かなり多い)
 |
    
黄砂(九州大学)(詳細は図をクリック下さい)
硫酸塩エアロゾル(大気汚染物質)
九州大学(詳細は図をクリック下さい)
|
35 |
5/ 1-2
曇りのち雨
17.9℃ (1686.2℃)
南東4.6 |
イネ科 0.9
その他の花粉 24.7
マツ 1.2
合計 26.8 (やや多い)

雨に少々濡れている |
  黄砂(九州大学)(詳細は図をクリック下さい)
硫酸塩エアロゾル(大気汚染物質)
九州大学(詳細は図をクリック下さい)
|
12 |
4/30-5/1
晴れ
20.9℃ (1668.3℃)
南南東6.5 |
ヒノキ 0.9
イネ科 1.5
マツ 1.9
シラカンバなどその他の花粉 23.8
合計 28.1 (やや多い)
 |
   黄砂(九州大学)(詳細は図をクリック下さい)
|
21 |
4/ 29-30
曇りのち雨
19.2℃ (1647.4℃)
北北西5.9 |
ヒノキ 0.6
スギ 0.3
シラカンバ・コナラなどの花粉 41.0
マツ 3.1
合計 45.0 (多い)

雨に濡れている |
    |
27 |
4/ 28-29
曇りのち晴れ
22.8℃ (1628.2℃)
南4.7 |
その他の花粉 34.3
マツ 4.3
イネ科 1.2
ヒノキ 0.6
合計 40.4 (多い)
 |
  |
31 |
4/ 27-28
曇りのち晴れ
25.7℃ (1605.4℃)
西北西5.3 |
ヒノキ 2.2
イネ科 0.6
シラカンバ・ハンノキ・コナラなどの花粉 86.4
マツ 11.4
合計 100.6 (非常に多い)
 |
   黄砂(気象庁)(詳細は図をクリック下さい)
黄砂(九州大学)(詳細は図をクリック下さい)
硫酸塩エアロゾル(大気汚染物質)
九州大学(詳細は図をクリック下さい)
|
40 |
4/ 26-27
曇りのち雨
23.4℃ (1579.7℃)
南南東7.0 |
ヒノキ? 0.6
イネ科 2.5
その他の花粉 12.3
マツ 0.3
合計 15.7 (やや多い)

雨に濡れている |
   黄砂(気象庁)(詳細は図をクリック下さい)
黄砂(九州大学)(詳細は図をクリック下さい)
|
14 |
4/ 25-26
晴れ
27.4℃ (1556.3℃)
南南東5.0 |
イネ科 2.1
その他の花粉 29.3
ヒノキ 0.3
マツ 1.2
合計 32.9 (多い)
 |
  黄砂(気象庁)(詳細は図をクリック下さい)
黄砂(九州大学)(詳細は図をクリック下さい)
硫酸塩エアロゾル(大気汚染物質)
九州大学(詳細は図をクリック下さい)
|
17 |
4/ 24-25
一日雨
18.4℃ (1528.9℃)
北2.3 |
ヒノキ 0.3
コナラ? 0.6
その他の花粉 0.6
合計 1.5
(少ない)
 |
 黄砂(気象庁)(詳細は図をクリック下さい)
黄砂(九州大学)(詳細は図をクリック下さい)
硫酸塩エアロゾル(大気汚染物質)
九州大学(詳細は図をクリック下さい)
|
7 |
4/ 23-24
曇り
25.4℃
朝から暑い (1510.5℃)
北北西5.6 |
ヒノキ 8.6
シラカンバ・ハンノキ・コナラなどその他の花粉 64.8
マツ 6.8
合計 80.2 (かなり多い)
 |
   
黄砂(気象庁)(詳細は図をクリック下さい)
黄砂(九州大学)(詳細は図をクリック下さい)
硫酸塩エアロゾル(大気汚染物質)
九州大学(詳細は図をクリック下さい)
|
48 |
4/ 22-23
晴れ
25.1℃ (1485.1℃)
西北西4.5 |
ヒノキ 8.3
ハンノキ・シラカンバ・その他の花粉 119.8
イネ科 0.3
マツ 10.5
合計 138.9 (非常に多い)
 |
       黄砂(気象庁)(詳細は図をクリック下さい)
黄砂(九州大学)(詳細は図をクリック下さい)
硫酸塩エアロゾル(大気汚染物質)
九州大学(詳細は図をクリック下さい)
|
35 |
4/ 21-22
曇りのち雨
20.9℃ (1460.0℃)
南南東5.3 |
ヒノキ 0.9
シラカンバ・その他の花粉 24.4
イネ科 0.3
マツ 1.2
合計 26.8 (やや多い)

雨に濡れている |
   
黄砂(気象庁)(詳細は図をクリック下さい)
黄砂(九州大学)(詳細は図をクリック下さい)
硫酸塩エアロゾル(大気汚染物質)
九州大学(詳細は図をクリック下さい)
|
13 |
4/ 20-21
晴れ
22.8℃ (1439.1℃)
南4.9 |
ヒノキ 6.5
スギ 0.6
その他の花粉 42.9
マツ 8.6
合計 58.6 (かなり多い)
 |
   
黄砂(気象庁)(詳細は図をクリック下さい)
黄砂(九州大学)(詳細は図をクリック下さい)
硫酸塩エアロゾル(大気汚染物質)
九州大学(詳細は図をクリック下さい)
|
35 |
4/ 19-20
晴れ
23.0℃ (1416.3℃)
西南西4.2 |
ヒノキ 19.8
スギ 0.3
マツ 8.3
ハンノキ・シラカンバ・その他の花粉 98.2
合計 126.6 (非常に多い)
 |
    黄砂(気象庁)(詳細は図をクリック下さい)
黄砂(九州大学)(詳細は図をクリック下さい)
硫酸塩エアロゾル(大気汚染物質)
九州大学(詳細は図をクリック下さい)
|
70 |
4/ 18-19
一日雨
14.9℃ (1393.3℃)
北北西3.8 |
ヒノキ 0.3
マツ 0.3
その他の花粉 0.9
合計 1.5
(少ない)

雨に濡れて正確な測定不能 |
 黄砂(九州大学)(詳細は図をクリック下さい)
硫酸塩エアロゾル(大気汚染物質)
九州大学(詳細は図をクリック下さい)
|
2 |
4/ 17-18
雨
14.7℃ (1378.4℃)
北北西3.1 |
ヒノキ 4.6
その他の花粉 4.6
マツ 1.2
合計 10.4 (やや多い)

少々雨に濡れている |
   黄砂(九州大学)(詳細は図をクリック下さい)
硫酸塩エアロゾル(大気汚染物質)
九州大学(詳細は図をクリック下さい)
|
9 |
4/ 16-17
晴れ
20.4℃ (1373.7)
西北西9.0
朝からとても風が強い |
ヒノキ 70.4
スギ 12.7
シラカンバ・ハンノキ・その他の花粉 134.3
マツ 9.9
合計 227.3 (非常に多い)
 |
         黄砂(九州大学)(詳細は図をクリック下さい)
硫酸塩エアロゾル(大気汚染物質)
九州大学(詳細は図をクリック下さい)
|
207 |
4/ 15-16
雨のち曇り
20.8℃ (1353.3℃)
北北西4.9 |
ヒノキ 34.3
シラカンバ・ハンノキ・コナラ・イネ科などの花粉 193.2
マツ 35.8
合計 263.3 (非常に多い)
 |
    黄砂(九州大学)(詳細は図をクリック下さい)
硫酸塩エアロゾル(大気汚染物質)
九州大学(詳細は図をクリック下さい)
|
22 |
4/ 14-15
雨~曇り
25.0℃ (1332.8℃)
南南東6.9 |
ヒノキ 10.5
マツ 25.9
その他の花粉 89.2
合計 125.6 (非常に多い)
 |
  |
80 |
4/ 13-14
曇り
28.8℃ (1307.8℃)
南5.4 |
ヒノキ 37.3
スギ 0.3
マツ 18.8
その他の花粉 多数
測定不能
合計 測定不能多数 (非常に多い)
 |
      黄砂(九州大学)(詳細は図をクリック下さい)
硫酸塩エアロゾル(大気汚染物質)
九州大学(詳細は図をクリック下さい)
|
77 |
4/ 12-13
晴れ
27.6℃ (1279.0℃)
南南東5.5 |
ヒノキ 32.1
その他の花粉 74.1
マツ 9.3
イネ科 0.3
合計 115.8 (非常に多い)
 |
      |
70 |
4/ 11-12
晴れ
24.5℃ (1251.4℃)
南南東6.7 |
ヒノキ 4.3
その他の花粉 10.8
マツ 10.8
スギ 0.6
合計 18.8 (やや多い)
 |
   黄砂(九州大学)(詳細は図をクリック下さい)
硫酸塩エアロゾル(大気汚染物質)
九州大学(詳細は図をクリック下さい)
|
34 |
4/ 10-11
晴れ
27.9℃ (1226.9℃)
南5.1 |
ヒノキ 38.9
その他の花粉 65.7
マツ 3.1
イネ科 0.3
合計 108.0 (非常に多い)
 |
     黄砂(九州大学)(詳細は図をクリック下さい)
硫酸塩エアロゾル(大気汚染物質)
九州大学(詳細は図をクリック下さい)
|
115 |
4/ 9-10
晴れ
24.4℃ (1199.0℃)
南4.8 |
ヒノキ 59.6
スギ 0.9
ハンノキ・シラカンバ・その他の花粉 38.3
合計 98.8 (かなり多い)
 |
    黄砂(気象庁)(詳細は図をクリック下さい)
黄砂(九州大学)(詳細は図をクリック下さい)
硫酸塩エアロゾル(大気汚染物質)
九州大学(詳細は図をクリック下さい)
|
63 |
4/ 8-9
晴れ
21.9℃ (1174.6℃)
北北西5.5 |
ヒノキ 172.8
スギ 5.6
シラカンバ・ハンノキ・その他の花粉 36.7
合計 215.1 (非常に多い)
 |
       硫酸塩エアロゾル(大気汚染物質)
九州大学(詳細は図をクリック下さい)
|
237 |
4/ 7-8
晴れ
21.9℃ (1152.7℃)
南南東6.5 |
ヒノキ 307.4
スギ 2.5
シラカンバ・コナラ・その他の花粉 67.9
合計 377.8 (非常に多い)
 |
     
黄砂(九州大学)(詳細は図をクリック下さい)
硫酸塩エアロゾル(大気汚染物質)
九州大学(詳細は図をクリック下さい)
|
614 |
4/ 6-7
晴れ
22.9℃ (1130.8℃)
南4.2 |
ヒノキ 193.8
スギ 4.0
シラカンバ・その他の花粉 43.8
マツ 0.3
合計 241.9 (非常に多い)
 |
     黄砂(九州大学)(詳細は図をクリック下さい)
硫酸塩エアロゾル(大気汚染物質)
九州大学(詳細は図をクリック下さい)
|
329 |
4/ 5-6
晴れ
21.8℃ (1107.9℃)
南南東5.5 |
ヒノキ 156.2
スギ 1.5
シラカンバ・イネ科・その他の花粉 19.6
合計 177.3 (非常に多い)

イネ科花粉が飛び始めました |
    |
192 |
4/ 4-5
晴れ
20.2℃ (1086.1℃)
西南西6.6 |
ヒノキ 105.6
シラカンバ・ハンノキなどの他の花粉 29.0
スギ 13.3
合計 147.9 (非常に多い)
 |
       |
- |
4/ 3-4
曇りのち雨
12.8 (1065.9℃)
北北西3.2 |
ヒノキ 4.6
スギ 0.9
シラカンバなどその他の花粉 2.2
合計 7.7
(少ない)
|
 |
- |
4/ 2-3
曇りのち雨
14.5℃ (1053.1℃)
南3.7 |
スギ 38.9
ヒノキ 30.9
シラカンバ・その他の花粉 5.6
合計 75.4 (かなり多い)
 |
   硫酸塩エアロゾル(大気汚染物質)
九州大学(詳細は図をクリック下さい)
|
67 |
4/ 1-2
曇りのち晴れ
15.5℃ (1038.6℃)
北7.3 |
スギ 279.0
ヒノキ 134.0
その他の花粉 10.5
合計 423.5 (非常に多い)

スギが再び大量飛散! |
     黄砂(九州大学)(詳細は図をクリック下さい)
硫酸塩エアロゾル(大気汚染物質)
九州大学(詳細は図をクリック下さい)
|
419 |
3/31 - 4/1
曇り
19.1℃ (1023.1℃)
西北西6.1 |
ヒノキ 101.5
スギ 33.6
シラカンバ・コナラ・その他の花粉 18.5
合計 153.6 (非常に多い)
 |
    黄砂(気象庁)(詳細は図をクリック下さい)
硫酸塩エアロゾル(大気汚染物質)
九州大学(詳細は図をクリック下さい)
|
44 |
3/ 30-31
晴れ
22.0℃ (1004.0℃)
南3.3 |
ヒノキ 22.8
スギ 2.8
ハンノキ・シラカンバ・その他の花粉 11.1
合計 36.7 (多い)
 |
    黄砂(気象庁)(詳細は図をクリック下さい)
黄砂(九州大学)(詳細は図をクリック下さい)
硫酸塩エアロゾル(大気汚染物質)
九州大学(詳細は図をクリック下さい)
|
11 |
3/ 29-30
曇り
16.4℃ (982.0℃)
西3.1 |
ヒノキ 31.8
スギ 13.9
ハンノキ・シラカンバなどその他の花粉 4.3
合計 50.0 (多い)
 |
   黄砂(九州大学)(詳細は図をクリック下さい)
硫酸塩エアロゾル(大気汚染物質)
九州大学(詳細は図をクリック下さい)
|
35 |
3/ 28-29
晴れ
16.2℃ (965.6℃)
西北西6.3 |
スギ 72.2
ヒノキ 18.2
ハンノキ・シラカンバなどその他の花粉 5.6
合計 96.0 (かなり多い)
 |
   黄砂(気象庁)(詳細は図をクリック下さい)
黄砂(九州大学)(詳細は図をクリック下さい)
硫酸塩エアロゾル(大気汚染物質)
九州大学(詳細は図をクリック下さい)
|
79 |
3/ 27-28
晴れ
19.3℃ (949.4℃)
西北西9.0 |
スギ 47.5
ヒノキ 10.2
ハンノキ 1.5
シラカンバなどその他の花粉 5.6
合計 64.8 (かなり多い)
 |
   黄砂(気象庁)(詳細は図をクリック下さい)
黄砂(九州大学)(詳細は図をクリック下さい)
硫酸塩エアロゾル(大気汚染物質)
九州大学(詳細は図をクリック下さい)
|
30 |
3/ 26-27
雨
17.6℃ (930.1℃)
南東8.2 |
スギ 5.9
ヒノキ 3.1
その他の花粉 0.3
合計 9.3
(少ない)

雨に濡れている |
   |
69 |
3/ 25-26
晴れ
17.9℃ (912.5℃)
南南東5.2 |
スギ 19.8
ヒノキ 12.0
ハンノキ 0.3
その他の花粉 0.6
合計 32.7 (多い)
 |
   黄砂(気象庁)(詳細は図をクリック下さい)
黄砂(九州大学)(詳細は図をクリック下さい)
硫酸塩エアロゾル(大気汚染物質)
九州大学(詳細は図をクリック下さい)
|
48 |
3/ 24-25
晴れ
16.1℃ (894.6℃)
西北西6.8 |
スギ 59.3
ヒノキ 0.3
ハンノキ 0.3
その他の花粉 1.5
合計 61.4 (かなり多い)
 |
 
黄砂(九州大学)(詳細は図をクリック下さい)
硫酸塩エアロゾル(大気汚染物質)
九州大学(詳細は図をクリック下さい)
|
45 |
3/23-24
曇り
12.2℃ (878.5℃)
南3.5 |
スギ 5.2
ヒノキ 3.1
その他の花粉 24.1
合計 32.4 (多い)

ヒノキが飛び始めました |
  黄砂(九州大学)(詳細は図をクリック下さい)
硫酸塩エアロゾル(大気汚染物質)
九州大学(詳細は図をクリック下さい)
|
22 |
3/ 22-23
雨
9.8℃ (866.3℃)
北北西4.2 |
スギ 14.8
ヒノキ? 0.3
ハンノキ 0.3
合計 15.4 (やや多い)
 |
  黄砂(九州大学)(詳細は図をクリック下さい)
硫酸塩エアロゾル(大気汚染物質)
九州大学(詳細は図をクリック下さい)
|
15 |
3/ 21-22
晴れ
14.9℃ (856.5℃)
西北西5.2 |
スギ 72.2
ハンノキ 0.3
合計 72.5 (かなり多い)
 |
   黄砂(九州大学)(詳細は図をクリック下さい)
硫酸塩エアロゾル(大気汚染物質)
九州大学(詳細は図をクリック下さい)
|
30 |
3/ 20-21
晴れ
13.7℃ (841.6℃)
西北西5.9 |
スギ 71.0
ハンノキ 1.2
その他の花粉 0.6
合計 72.8 (かなり多い)
 |
   黄砂(九州大学)(詳細は図をクリック下さい)
硫酸塩エアロゾル(大気汚染物質)
九州大学(詳細は図をクリック下さい)
|
52 |
3/ 19-20
晴れ
13.8℃ (827.9℃)
西北西7.7 |
スギ 41.0
ハンノキ 1.5
その他の花粉 0.6
合計 43.1 (多い)
 |
   黄砂(九州大学)(詳細は図をクリック下さい)
硫酸塩エアロゾル(大気汚染物質)
九州大学(詳細は図をクリック下さい)
|
34 |
3/ 18-19
曇り昼から大雨
13.0℃ (814.1℃)
北3.7 |
スギ 13.6
ハンノキ 0.6
合計 14.2 (やや多い)

雨で濡れている |
  黄砂(九州大学)(詳細は図をクリック下さい)
硫酸塩エアロゾル(大気汚染物質)
九州大学(詳細は図をクリック下さい)
|
6 |
3/ 17-18
晴れのち曇り
20.1℃
(801.1℃)
西北西5.6 |
スギ 160.5
ハンノキ 0.3
その他の花粉 0.9
合計 161.7 (非常に多い)
 |
   黄砂(九州大学)(詳細は図をクリック下さい)
硫酸塩エアロゾル(大気汚染物質)
九州大学(詳細は図をクリック下さい)
|
126 |
3/ 16-17
晴れ
22.1℃ (781.0℃)
北北西4.0 |
スギ 71.3
ハンノキ 0.9
その他の花粉 0.3
合計 72.5 (かなり多い)
 |
  黄砂(気象庁)(詳細は図をクリック下さい)
黄砂(九州大学)(詳細は図をクリック下さい)
硫酸塩エアロゾル(大気汚染物質)
九州大学(詳細は図をクリック下さい)
|
47 |
3/ 15-16
曇りのち晴れ
19.2℃ (758.9℃)
西北西6.5 |
スギ 352.5
ハンノキ 1.2
その他の花粉 0.6
合計 354.3 (非常に多い)
 |
   黄砂(気象庁)(詳細は図をクリック下さい)
黄砂(九州大学)(詳細は図をクリック下さい)
硫酸塩エアロゾル(大気汚染物質)
九州大学(詳細は図をクリック下さい)
|
264 |
3/ 14-15
雨のち晴れ
22.2℃
(739.7℃)
西北西5.4 |
スギ 88.3
ハンノキ 1.5
合計 89.8 (かなり多い)
 |
   黄砂(気象庁)(詳細は図をクリック下さい)
黄砂(九州大学)(詳細は図をクリック下さい)
硫酸塩エアロゾル(大気汚染物質)
九州大学(詳細は図をクリック下さい)
|
31 |
3/ 13-14
晴れのち夜雨
22.4℃ (717.5℃)
南南東4.7 |
スギ 71.6
ハンノキ 1.5
合計 73.1 (かなり多い)
 |
雨に濡れて花粉が壊れている  黄砂(気象庁)(詳細は図をクリック下さい)
明日以降黄砂にご注意下さい
硫酸塩エアロゾル(大気汚染物質)
九州大学(詳細は図をクリック下さい)
|
78 |
3/ 12-13
晴れ
21.2℃ (695.1℃)
西北西6.1 |
スギ 86.4
ハンノキ 0.9
合計 87.3 (かなり多い)
 |
   黄砂(九州大学)(詳細は図をクリック下さい)
硫酸塩エアロゾル(大気汚染物質)
九州大学(詳細は図をクリック下さい)
|
42 |
3/ 11-12
晴れ
18.6℃ (673.9℃)
南3.9 |
スギ 64.2 (かなり多い)
 |
   硫酸塩エアロゾル(大気汚染物質)
九州大学(詳細は図をクリック下さい)
|
55 |
3/ 10-11
晴れ
16.5℃ (655.3℃)
北北西3.1 |
スギ 40.7 (多い)
 |
  黄砂(九州大学)(詳細は図をクリック下さい)
硫酸塩エアロゾル(大気汚染物質)
九州大学(詳細は図をクリック下さい)
|
30 |
3/ 9-10
晴れ
12.8℃ (638.8℃)
西南西4.5 |
スギ 33.3
ハンノキ 0.6
その他の花粉 0.3
合計 34.2 (多い)
 |
   黄砂(九州大学)(詳細は図をクリック下さい)
硫酸塩エアロゾル(大気汚染物質)
九州大学(詳細は図をクリック下さい)
|
24 |
3/ 8-9
晴れ
13.6℃ (626.0℃)
西4.3 |
スギ 13.3
ハンノキ 0.3
合計 13.6 (やや多い)
 |

黄砂(九州大学)(詳細は図をクリック下さい)
硫酸塩エアロゾル(大気汚染物質)
九州大学(詳細は図をクリック下さい)
|
15 |
3/ 7-8
晴れ
9.7℃ (612.4℃)
西北西6.1 |
スギ 7.1
(少ない)
 |
 黄砂(九州大学)(詳細は図をクリック下さい)
硫酸塩エアロゾル(大気汚染物質)
九州大学(詳細は図をクリック下さい)
|
8 |
3/ 5-7
(2日間)
晴れ
9.6-17.7℃ (602.7℃)
西北西8.3 |
スギ 76.5 /2日間 (多い)
チリ・ゴミ花粉以上に多い |
    黄砂(九州大学)(詳細は図をクリック下さい)
 硫酸塩エアロゾル(大気汚染物質)
九州大学(詳細は図をクリック下さい)
|
30(3/6)
100(3/5) |
3/ 4-5
晴れのち曇り
12.9℃ (575.4℃)
北4.5 |
スギ 19.1 (やや多い)
 |
 黄砂(気象庁)(詳細は図をクリック下さい)
黄砂(九州大学)(詳細は図をクリック下さい)
硫酸塩エアロゾル(大気汚染物質)
九州大学(詳細は図をクリック下さい)
|
12 |
3/ 3-4
晴れ
14.1℃ (562.5℃)
西北西8.2 |
スギ 21.6 (やや多い)
 |
 黄砂(気象庁)(詳細は図をクリック下さい)
明日以降の黄砂の動向ににご注意下さい
黄砂(九州大学)(詳細は図をクリック下さい)
硫酸塩エアロゾル(大気汚染物質)
九州大学(詳細は図をクリック下さい)
|
16 |
3/ 2-3
晴れ
14.1℃ (548.4℃)
西北西5.2 |
スギ 10.8 (やや多い)
 |
 硫酸塩エアロゾル(大気汚染物質)
九州大学(詳細は図をクリック下さい)
|
9 |
3/ 1-2
曇りのち雨
10.4℃ (534.3℃)
北北西3.2 |
スギ 1.5
(少ない)
 |
 硫酸塩エアロゾル(大気汚染物質)
九州大学(詳細は図をクリック下さい)
|
6 |
2/28 - 3/1
晴れ
14.9℃ (523.9℃)
北北西5.9 |
スギ 1.2
(少ない)
 |
 黄砂(九州大学)(詳細は図をクリック下さい)
硫酸塩エアロゾル(大気汚染物質)
九州大学(詳細は図をクリック下さい)
|
13 |
2/ 27-28
晴れ
11.7℃ (509.0℃)
西北西7.5 |
スギ 10.2 (やや多い)

風が強くチリ・ゴミ多い |
 硫酸塩エアロゾル(大気汚染物質)
九州大学(詳細は図をクリック下さい)
|
17 |
2/ 26-27
晴れ
13.3℃ (497.3℃)
西南西3.4
スギ花粉飛散開始 |
スギ 5.2
ハンノキ 0.6
合計 5.8
(少ない)
 |
 硫酸塩エアロゾル(大気汚染物質)
九州大学(詳細は図をクリック下さい)
|
7 |
2/ 25-26
晴れ
10.1℃ (484.0℃)
西北西6.5 |
スギ 0.9
ハンノキ 0.3
合計1.2
(少ない)
 |
 硫酸塩エアロゾル(大気汚染物質)
九州大学(詳細は図をクリック下さい)
|
7 |
2/ 24-25
晴れ
8.2℃寒い (473.9℃)
西北西7.2 |
スギ 0.3
ハンノキ 0.3
合計 0.6
(少ない)
 |
 硫酸塩エアロゾル(大気汚染物質)
九州大学(詳細は図をクリック下さい)
|
4 |
2/ 23-24
晴れ
6.7℃寒い (465.7℃)
西北西5.9 |
ハンノキ 0.3
(少ない)
 |
 硫酸塩エアロゾル(大気汚染物質)
九州大学(詳細は図をクリック下さい)
|
2 |
2/ 22-23
晴れ
7.1℃寒い (459.0℃)
西北西7.5 |
ハンノキ 0.3
(少ない)

ゴミ・チリ多い |
 硫酸エアロゾル(大気汚染物質)
九州大学(詳細は図をクリック下さい)
|
5 |
2/ 21-22
曇りのち雪
3.6℃ (451.9℃)
西北西6.8 |
壊れたスギ?
その他の花粉?
0.3
(少ない)
 |
 |
4 |
2/ 20-21
晴れ
8.6℃ (448.3℃)
西北西9.9 |
スギ 0.3
ハンノキ 0.3
合計 0.6
(少ない)
 |
 硫酸塩エアロゾル(大気汚染物質)
九州大学(詳細は図をクリック下さい)
|
7 |
2/ 19-20
雨
9.8℃
(439.7℃)
北北西3.7 |
ハンノキ 0.3
(少ない)
 |
 |
2 |
2/ 18-19
晴れ
9.4℃
(428.9℃)
西北西5.2 |
ハンノキ 0.3
(少ない)
 |
 |
5 |
2/ 17-18
晴れ
寒波 4.5℃
(419.5℃)
西北西7.5 |
マツ 0.3
ハンノキ 0.3
その他の花粉 0.6
合計 1.2
(少ない)
 |
 硫酸エアロゾル(大気汚染物質)
九州大学(詳細は図をクリック下さい)
|
0 |
2/ 16-17
晴れ
8.2℃
(414.0℃)
北北西5.3
今季最大の寒波
岐阜大雪警報 |
スギ 0.3
ハンノキ 0.3
その他の花粉 0.3
合計 0.9
(少ない)
 |
 黄砂(九州大学)詳細は図をクリック下さい
硫酸エアロゾル(大気汚染物質)
九州大学(詳細は図をクリック下さい)
|
1 |
2/ 15-16
曇り
13.5℃
(405.8℃)
西南西6.0 |
ハンノキ 0.9
(少ない)
 |
 硫酸エアロゾル(大気汚染物質)
九州大学(詳細は図をクリック下さい)
|
0 |
2/ 14-15
曇りのち晴れ
10.7℃
(392.3℃)
北3.9 |
ハンノキ 0.6
その他の花粉 0.3
合計 0.9
(少ない)
 |
 硫酸エアロゾル(大気汚染物質)
九州大学(詳細は図をクリック下さい)
|
0 |
2/ 13-14
曇りのち雨
8.6℃
(381.6℃)
北北西4.2 |
花粉を認めず |
硫酸エアロゾル(大気汚染物質)
九州大学(詳細は図をクリック下さい)
|
0 |
2/ 12-13
晴れ
12.7℃
(373.0℃)
北北西3.9 |
花粉を認めず |
花粉を認めず |
0 |
2/ 11-12
晴れ
12.2℃
(360.3℃)
西北西6.3 |
スギ 0.3
ハンノキ 0.6
合計 0.9(少ない)
 |
 硫酸エアロゾル(大気汚染物質)九州大学(詳細は図をクリック下さい)
|
0 |
2/ 10-11
雨
6.1℃(348.1℃)
西北西2.8 |
花粉を認めず |
花粉を認めず |
0 |
2/ 9-10
晴れ
11.2℃
(342.0℃)
北4.1 |
ハンノキ 1.2
(少ない)
 |
 硫酸エアロゾル(大気汚染物質)
九州大学(詳細は図をクリック下さい)
|
0 |
2/ 8-9
曇りのち晴れ
10.2℃
(330.8℃)
西北西3.8 |
花粉を認めず |
硫酸エアロゾル(大気汚染物質)
九州大学(詳細は図をクリック下さい)
|
0 |
2/ 7-8
晴れ
7.3℃(320.6℃)
北北西5.4 |
ハンノキ 0.3
(少ない)
 |
 硫酸エアロゾル(大気汚染物質)
九州大学(詳細は図をクリック下さい)
|
0 |
2/ 6-7
曇り時々雪
5.6℃(313.3℃)
西北西6.1 |
花粉を認めず |
 |
0 |
2/ 5-6
曇りのち雪
5.4℃(307.7℃)
西北西8.0 |
ハンノキ 0.6
ブタクサ? 0.9
合計 1.5
(少ない)
 |
 硫酸エアロゾル(大気汚染物質)
九州大学(詳細は図をクリック下さい)
|
0 |
2/ 4-5
晴れ
8.4℃(302.3℃)
西北西6.1 |
ハンノキ 0.3
(少ない)
 |
 硫酸エアロゾル(大気汚染物質)
九州大学(詳細は図をクリック下さい)
|
0 |
2/ 3-4
晴れ
9.4℃(293.9℃)
西北西6.1 |
花粉を認めず
チリ・ゴミ多い |
硫酸エアロゾル(大気汚染物質)
九州大学(詳細は図をクリック下さい)
|
0 |
2/ 2-3
晴れ
8.8℃(284.5℃)
西北西7.2 |
花粉を認めず |
ゴミ
硫酸エアロゾル(大気汚染物質)
九州大学(詳細は図をクリック下さい)
|
0 |
2/ 1-2
晴れ
10.3℃(275.7℃)
西北西6.8 |
ハンノキ 1.9
(少ない)
 |
 硫酸エアロゾル(大気汚染物質)
九州大学(詳細は図をクリック下さい)
|
0 |
1/31 - 2/1
晴れ
9.6℃(265.4℃)
北北西7.4 |
花粉を認めず |
 |
0 |
1/ 30-31
晴れ
7.6℃(255.8℃)
北北西4.1 |
花粉を認めず |
ゴミ
|
0 |
1/ 29-30
晴れ
10.4℃(248.2℃)
西北西5.0 |
ハンノキ 1.2
(少ない)
 |
 硫酸エアロゾル(大気汚染物質)
九州大学(詳細は図をクリック下さい)
|
0 |
1/ 28-29
晴れ
10.8℃(237.8℃)
西5.2 |
花粉を認めず |
 硫酸エアロゾル(大気汚染物質)
九州大学(詳細は図をクリック下さい)
|
0 |
1/ 27-28
晴れ
11.0℃(227.0℃)
北北西6.4 |
スギ 0.3
ハンノキ 0.3
合計 0.6
(少ない)
 |
 硫酸エアロゾル(大気汚染物質)
九州大学(詳細は図をクリック下さい)
|
0 |
1/ 26-27
晴れ
12.1℃(216.0℃)
北西6.6 |
花粉を認めず
チリ・ゴミ多い |
 硫酸エアロゾル(大気汚染物質)
九州大学(詳細は図をクリック下さい)
|
0 |
1/ 25-26
曇り
11.4℃(204.9℃)
北北西3.1 |
花粉を認めず |
硫酸エアロゾル(大気汚染物質)
九州大学(詳細は図をクリック下さい)
|
0 |
1/ 24-25
晴れ
10.3℃(193.5℃)
北北西5.2 |
ハンノキ 0.3
(少ない)
 |
 硫酸エアロゾル(大気汚染物質)
九州大学(詳細は図をクリック下さい)
|
0 |
1/ 23-24
曇りのち雨
4.8℃(183.2℃)
北北西3.1 |
花粉を認めず |
花粉を認めず |
0 |
1/ 22-23
晴れ
8.9℃(178.4℃)
北4.3 |
花粉を認めず |
ゴミ |
0 |
1/ 21-22
晴れ
6.1℃(169.5℃)
北北西7.6 |
花粉を認めず |
硫酸エアロゾル(大気汚染物質)九州大学(詳細は図をクリック下さい)
|
0 |
1/ 20-21
晴れ
7.3℃(163.4℃)
北北西7.0 |
ハンノキ 0.3
(少ない)
 |
ハンノキ
硫酸エアロゾル(大気汚染物質)
九州大学(詳細は図をクリック下さい)
|
0 |
1/ 19-20
晴れ
6.6℃(156.1℃)
北北西4.6 |
花粉を認めず |
 |
2 |
1/ 18-19
曇り(朝小雪)のち晴れ
5.8℃(149.5℃)
西北西8.5 |
花粉を認めず |
 硫酸エアロゾル(大気汚染物質)
九州大学(詳細は図をクリック下さい)
|
0 |
1/ 17-18
晴れ
10.2℃(143.7℃)
西北西8.5 |
スギ 0.3
(少ない)
 |
スギ
|
0 |
1/ 16-17
晴れ
11.2℃(133.5℃)
西南西2.3 |
ハンノキ 0.3
(少ない)
 |
 硫酸エアロゾル(大気汚染物質)
九州大学(詳細は図をクリック下さい)
|
0 |
1/ 15-16
晴れ
8.6℃(122.3℃)
西北西4.4 |
花粉を認めず |
 |
観測開始 |
1/ 14-15
雪のち曇り
5.2℃(113.7℃)
西北西7.6 |
花粉を認めず |
ゴミ
|
|
1/ 13-14
曇り~雪
7.4℃
(108.5℃)
西北西8.0 |
その他の花粉 0.9
(少ない)
 |
その他の花粉とゴミ
硫酸エアロゾル(大気汚染物質)
九州大学(詳細は図をクリック下さい)
|
|
1/ 2-13
晴れ
6.1℃(101.1℃)
西北西7.8 |
花粉を認めず |
花粉を認めず |
|
1/ 11-12
雨
7.7℃ (95.0℃)
西北西8.0 |
花粉を認めず |
花粉を認めず |
|
1/ 10-11
晴れ
14.1℃(87.3℃)
北北西5.4 |
花粉を認めず |
花粉を認めず |
|
1/ 8-10 (2日間)
晴れ
11.6℃(73.2℃)
北北西4.7
|
花粉を認めず |
花粉を認めず |
|
1/ 7-8
晴れ
7.7℃(51.9℃)
北北西6.4 |
花粉を認めず |
花粉を認めず |
|
1/ 6-7
晴れ
5.4℃(44.2℃)
北北西3.1 |
花粉を認めず |
花粉を認めず |
|
1/ 5-6
晴れ
7.1℃(38.8℃)
西北西5.5 |
花粉を認めず |
花粉を認めず |
|
1/3-5(2日間)
晴れ一時雨
9.4℃(31.7℃)
西北西5.5 |
花粉を認めず |
花粉を認めず |
|
1/ 2-3
晴れ
7.7℃(13.5℃)
北北西2.8 |
その他の花粉 0.3
(少ない)
 |
その他の花粉
|
|
1/ 1-2
晴れ
5.8℃
北北西8.1 |
その他の花粉 0.6
(少ない)
 |
 |
|